Before & After
All Porcelain Cosmetic Crowns & a Bridge
Six Veneers
Ten All Porcelain Cosmetic Crowns
Eight Veneers
All Porcelain Cosmetic Crowns & Bridge
Four All Porcelain Cosmetic Crowns
Eight Upper & Eight Lower Veneers
Six All Porcelain Cosmetic Crowns
Six Upper All Porcelain Cosmetic Crowns
Six All Porcelain Cosmetic Crowns
Two Veneers on Lateral Incisors
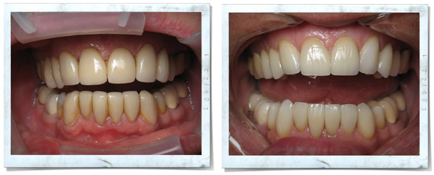
All Porcelain Cosmetic Crowns on both the Upper & Lower Arch
Four Veneers to Close Space
Four Veneers
Eight Upper Veneers
Two Veneers placed on Peg Lateral Incisors
<
>
These are actual patients of Cullman Cosmetic & Family Dentistry
Before
After
©2018 Cullman Cosmetic & Family Dentistry. All Rights Reserved. | 311 6th Ave SE, Cullman, Alabama 35055 | Website Designed By: YourSocialMediaPartner@gmail.com